- 044-863-6056
- 診療時間 / 09:30〜19:30 日曜:09:00〜16:30 休診日 / 水 神奈川県川崎市中原区新城1丁目15-3 エルレーブ101

審美歯科
COSMETIC DENTISTRY
審美歯科
について
審美歯科とは?
審美歯科とは、健康的な歯にすることを前提にもう一歩進んで、美しく健康な歯や歯肉を作ることを目的とした歯科治療のことです。

当院の審美歯科の特徴
1回の治療に時間を掛けて治療期間を短縮
審美歯科に使用する素材は全て高品質な日本製
当院の使用する補綴物
オールセラミック | ・審美性 ・使用する接着剤の性能が高まった ・金属を使用しないため、アレルギーが起こりにくい |
---|---|
ジルコニア | ・奥歯を白くしたい人や歯ぎしりをされる方にオススメ ・金属を使用しないため、アレルギーが起こりにくい |
メタルボンド | ・長年の実績があり、多く使用されている ・経年変化による変色や磨耗、劣化が少ない丈夫な材料 |
ラミネートベニア | ・歯の表面を薄く削り、その上から薄いセラミックをネイルチップのように貼り付ける治療 ・透明度が天然歯に近く、自然な仕上がり |
金合金 | ・天然歯に近い硬さ ・噛み合わせる相手の歯にも優しい |
- メタルボンド -

内側のフレームは金属で作られ、外側から見える部分のみセラミックを焼き付けます。強度のあるメタルボンドの歴史は古く、永きにわたり差し歯の頂点に君臨してきた商品です。現在メタルボンドの需要は減少してきております。要因は金属は微量ずつ溶け出す為、歯茎の変色・金属アレルギーなどを引き起こす可能性があること、又将来的に歯茎が下がって歯と歯茎の境目に金属の黒いラインが出てきてしまう事などが挙げられます。
価格:¥80,000
- e.max クラウン&インレー -

e.max(イー.マックス)とは、比較的新しいセラミックの一種、専用の機会やセラミック材料を使用し、重要な温度管理なども含めシステム化された製造法のもとに作られます。e.maxの強度はジルコニアには劣るものの、差し歯で使われている通常のセラミックの約4倍の強度があります。又多少の透明感をはじめから有していますので歯の色に馴染みやすく、冠(クラウン)はもちろん、小さな詰め物などにも最適なアメリカやヨーロッパでもヒットしている商品です。
価格:e-max In/¥40,000・e-max クラウン/¥70,000
※治療上でのリスク:ラミネートベニア/脱離、破折 , セラミック/破折、色調の再現に限界がある
ジルコニアDIVAについて




ホワイトニング
について
ホワイトニングとは?
歯質から着色因子を取り除いて白くする方法です。歯を傷つけることなく、白くできます。ホワイトニング終了後に酸性に傾くためしみることが稀にありますが、フッ素を塗布することにより中性にしてしみるのを抑えることができます。

当院のホワイトニングの特徴
使用機材
- 照射器 -
ブリリカビアンコ
100gと非常に軽量、光出力100mW。1cm2リチウムイオンバッテリ搭載によりコードレス化し、患者さまに負担の少ないものを使用しています。

ホームホワイトニング
とオフィスホワイトニング
- ホームホワイトニング -

薬剤名:GCティオンホームプラチナ
価格:¥25,000
【 特徴 】
全歯列が対象・治療期間完了まで1〜2ヶ月・チェアタイム・初回30分、以降は10分程度・天然歯の透明度を維持できる・知覚過敏の発生率:高い・リプラス:緩やか
【 治療フロー 】
- カウンセリング
- 口腔内、歯のクリーニング
- マウスピース作製
- ホームホワイトニング開始
- ホームホワイトニングの完了
- オフィスホワイトニング -

薬剤名:GCティオンオフィス
価格:1クール/¥18,000 ・2クール/¥30,000
【 特徴 】
前歯部のみ(第1小臼歯まで)・チェアタイム2〜3時間・即日で完了する・白濁感を生じやすい・知覚過敏の発生率:低い・リプラス:速やか
【 治療フロー 】
- カウンセリング
- 口腔内、歯のクリーニング
- 薬剤の塗布
- 歯に光を照射する
- 薬剤を除去
- ホームホワイトニング -
過酸化尿素10%
1日120分使用、14日で終了します。
価格:¥25,000
過酸化尿素17%
1日90分使用、10日で終了します。
価格:¥30,000

- デュアルホワイトニング -
ホームホワイトニングとオフィスホワイトニングを併用する方法です。最もホワイトニングの効果が得られます。最初にオフィスホワイトニングを施術し、その後はホームホワイトニングを実施していただきます。
価格:¥40,000
【メリット】
短時間で歯が白くなる・効果が長く続く・理想の白さを手に入れやすい・後戻りが少ない
【デメリット】
処置完了までに時間がかかる・費用が高い

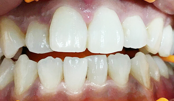
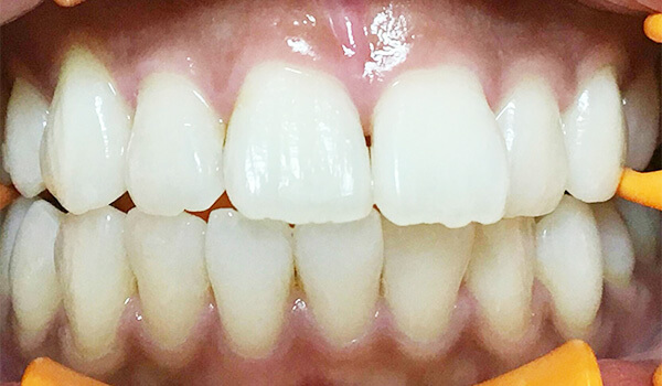
ホームホワイトニングの実例
Case.1

Case.2

※治療上でのリスク:後戻り、知覚過敏
アンチエイジング
について
歯医者で行なう
アンチエイジングとは?
アンチエイジング歯科とは、老化して諦めていた歯の喪失を防ぐだけでなく、歯や口の働きを活性化する事で老化を予防し、若さと美しさを取り戻し、歯科医療の広い分野にわたり、総合的判断と治療そしてその後の予防と管理を行うしか医療です。

当院のアンチエイジング
- プラセンタ注射 -
乾燥肌・シワ・シミ・ソバカス・肌のくすみ・ニキビに効果があります。歯周病・顎関節症・口内炎の治療をしながら結果的にアンチエイジングの効果が出ます。1アンプル/1,200円・2アンプル/2,000円
アンチエイジングの治療フロー
- カウンセリング
- 同意書記入
- メルスモン注射
※最初の1〜2ヶ月では週1,2回(1〜2週間に1回のペース)